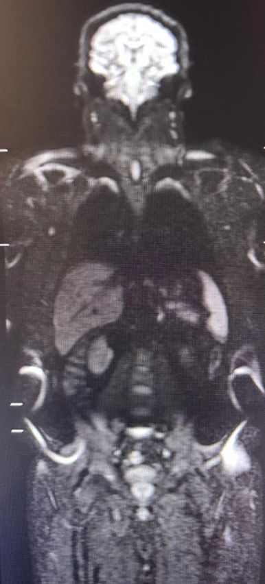
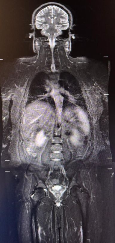
Ressonância magnética de corpo inteiro

A ressonância magnética de corpo inteiro (RM de corpo inteiro, ou WB-MRI) se consolidou como uma das ferramentas mais relevantes da imagem oncológica moderna. Trata-se de um método sem radiação ionizante, com excelente contraste tecidual e grande sensibilidade para detectar doença em múltiplos segmentos do corpo. No entanto, embora o nome do exame seja o mesmo, seu papel muda de forma importante conforme a indicação clínica. Isso fica especialmente claro quando comparamos sua aplicação na hematologia, particularmente no mieloma múltiplo, com seu uso na oncologia de vigilância, como no rastreio de pacientes com síndrome de Li-Fraumeni.

No mieloma múltiplo, a RM de corpo inteiro é um exame desenhado principalmente para avaliar a medula óssea e o esqueleto, identificando infiltração difusa, lesões focais, comprometimento cortical, doença paramedular e, em alguns casos, extensão extramedular. Nessa situação, o exame faz parte do raciocínio diagnóstico, do estadiamento e também da avaliação de resposta terapêutica, com protocolos estruturados dentro da lógica do MY-RADS, que padroniza aquisição, interpretação e seguimento.

Já na oncologia hereditária, especialmente na síndrome de Li-Fraumeni, o objetivo é diferente. Aqui, a RM de corpo inteiro entra como ferramenta de vigilância global, buscando tumores em fase inicial em diversos órgãos e tecidos, incluindo sarcomas ósseos, sarcomas de partes moles e neoplasias viscerais. As recomendações atuais mantêm a RM de corpo inteiro anual como componente central do programa de rastreamento desses pacientes, em geral associada também à RM de encéfalo anual.

Essa diferença de finalidade muda tudo: muda o protocolo, muda o peso das sequências e muda a forma como o radiologista lê o exame. No mieloma, a pergunta principal é: há infiltração medular? Quantas lesões existem? Há resposta ao tratamento? No Li-Fraumeni, a pergunta é outra: há alguma massa suspeita em qualquer parte do corpo? Em um cenário, o exame é medula-centrado; no outro, ele é rastreamento-centrado.

Quando a RM de corpo inteiro é usada na hematologia

Na prática hematológica, especialmente no mieloma múltiplo, a RM de corpo inteiro é extremamente útil para detectar doença que pode não ser suficientemente caracterizada por outros métodos. O exame valoriza muito a medula óssea, e por isso as sequências de difusão (DWI) e os mapas ADC têm papel central. A difusão ajuda tanto na detecção de lesões focais quanto na avaliação de atividade de doença e de resposta terapêutica, motivo pelo qual ela se tornou uma das bases do protocolo contemporâneo de mieloma.

Além da difusão, as sequências T1 e STIR são fundamentais para mapear substituição medular, edema, infiltração e alterações estruturais do esqueleto axial e apendicular. O exame, portanto, não é apenas uma “varredura do corpo”, mas um método especializado para responder a perguntas muito específicas da doença hematológica.

Quando a RM de corpo inteiro é usada na oncologia

Na oncologia, sobretudo nos programas de rastreio de pacientes de alto risco, como os portadores de síndrome de Li-Fraumeni, a RM de corpo inteiro funciona como uma estratégia de detecção precoce de tumores sólidos. O raciocínio deixa de ser centrado na medula e passa a ser global, incluindo ossos, partes moles, abdome, pelve e outros órgãos.

Nessa aplicação, a RM de corpo inteiro costuma privilegiar uma leitura anatômica ampla, em busca de massas suspeitas, assimetrias, lesões agressivas e alterações que justifiquem investigação dirigida. Muitos centros utilizam protocolos com T1 e STIR de corpo inteiro, frequentemente associados à difusão, mas a lógica não é a de quantificar infiltração medular, e sim a de ampliar a sensibilidade do rastreamento global. Em várias séries contemporâneas de vigilância em Li-Fraumeni, o exame é realizado sem contraste e de forma periódica, justamente para permitir seguimento longitudinal seguro e repetido.

Principais diferenças entre as sequências e o foco de cada protocolo

Aspecto RM corpo inteiro no mieloma múltiplo RM corpo inteiro no rastreio oncológico / Li-Fraumeni
Objetivo principal Avaliar medula óssea, lesões focais, infiltração difusa e resposta terapêutica Detectar tumores sólidos em múltiplos órgãos e tecidos
Foco anatômico Esqueleto axial e apendicular, medula óssea, cortical e doença extramedular Corpo inteiro com atenção distribuída entre ossos, partes moles e vísceras
Sequência T1 Muito importante para avaliar substituição medular e padrão de infiltração Importante para anatomia global e caracterização morfológica geral
Sequência STIR / T2 com supressão de gordura Muito importante para destacar lesões ósseas e medulares Muito importante para rastreio de massas e lesões de partes moles
Difusão (DWI) Central no protocolo; chave para detecção e resposta Útil e frequentemente incluída, com foco em aumentar a sensibilidade do screening
Mapa ADC Relevante para atividade de doença e seguimento Mais complementar; menos quantitativo do que no mieloma
Cobertura da coluna Grande ênfase, inclusive em sagital, pelo papel da coluna no mieloma Incluída na avaliação global, sem protagonismo específico
Partes moles Avaliadas principalmente para extensão paramedular/extramedular Avaliação central, principalmente para sarcomas
Vísceras Papel secundário Papel importante, já que o rastreio busca também tumores viscerais
Contraste Muitas vezes dispensável no protocolo de corpo inteiro padrão Em geral evitado no rastreio seriado; achados suspeitos podem motivar estudo segmentar complementar
Modelo de interpretação Estruturado, frequentemente baseado em MY-RADS Vigilância global, baseada em identificação precoce de lesões suspeitas
Periodicidade Conforme diagnóstico, estadiamento e resposta terapêutica Geralmente anual no Li-Fraumeni

Essas diferenças mostram que a RM de corpo inteiro não deve ser vista como um exame único e genérico. Ela é, na verdade, uma plataforma de imagem extremamente versátil, cujo verdadeiro valor depende da indicação correta, do protocolo adequado e da pergunta clínica bem definida. No mieloma, a prioridade é compreender a distribuição e a atividade da doença medular. No Li-Fraumeni, a missão é procurar precocemente um tumor potencialmente silencioso em qualquer parte do corpo.

Conclusão

A RM de corpo inteiro ocupa hoje um espaço de destaque tanto na hematologia quanto na oncologia, mas por razões diferentes. No mieloma múltiplo, ela é uma ferramenta refinada para diagnóstico e monitoramento da doença óssea e medular. Na oncologia hereditária, como na síndrome de Li-Fraumeni, ela assume um papel de vigilância ampla, buscando antecipar o diagnóstico de tumores potencialmente agressivos. Entender essa diferença é essencial para protocolar melhor, interpretar com mais precisão e oferecer ao paciente o exame certo, com a estratégia certa.

Referências:

Messiou C, et al. Whole body MRI by MY-RADS for imaging response assessment in multiple myeloma. Blood Cancer Journal. 2025.

Achatz MI, et al. Update on Cancer Screening Recommendations for Individuals with Li-Fraumeni Syndrome. Clinical Cancer Research. 2025.

Sodde P, et al. Evaluation of whole-body MRI for cancer early detection in Li-Fraumeni syndrome. Journal of Medical Genetics. 2025.

Summers P, et al. Whole-body magnetic resonance imaging: technique guidelines and key applications. ecancermedicalscience. 2021.

Publicações Recentes

AngioTC de coronária: uma forma de personalizar e acompanhar o tratamento da aterosclerose Como médico que realiza angioTC de coronária há mais de duas décadas, entendo que o maior valor do método não está apenas em identificar estenose significativa. O verdadeiro ganho clínico da angiotomografia coronária é permitir que o médico deixe de trabalhar exclusivamente com probabilidade estatística e passe a visualizar a doença aterosclerótica de forma concreta, individualizada e biologicamente coerente.
AngioTC de coronária: uma forma de personalizar e acompanhar o tratamento da aterosclerose Como médico que realiza angioTC de coronária há mais de duas décadas, entendo que o maior valor do método não está apenas em identificar estenose significativa. O verdadeiro ganho clínico da angiotomografia coronária é permitir que o médico deixe de trabalhar exclusivamente com probabilidade estatística e passe a visualizar a doença aterosclerótica de forma concreta, individualizada e biologicamente coerente.
Ablação Guiada Por Imagem

A ablação de uma lesão hepática ou renal pode ser feita por meio da aplicação de calor (radiofrequência ou micro-ondas) ou frio extremo (crioablação). A ablação é melhor indicada para pacientes que possuem tumores pequenos ou não podem ser submetidos a uma cirurgia convencional devido a fatores de saúde, além de poder ser realizado como procedimento misto na abordagem cirúrgica. Além disso, a ablação preserva a função dos órgãos, sendo uma solução menos agressiva na grande maioria dos casos.

Biópsias e Drenagens percutâneas

Dr Nacif utiliza do USG e da TC para realização de biópsias e drenagens percutâneas dos mais diversos órgãos e estruturas do nosso corpo. 

As biópsias mais utilizadas são as biópsias oncológicas de nódulos hepáticos, pulmonares, renais, pancreáticos, no retroperitoneo e ósseas. Também é possível realizar biópsias de parênquima para estudo de doença renal ou hepática.

As drenagens mais utilizadas são das cavidades abdominais e ou pélvica e do tórax.

Estes procedimentos podem ser realizados por meio de anestesia local, sedação ou até mesmo anestesia geral dependendo do caso e complexidade.

Os procedimentos mais realizados são:

1- Biópsia de fígado

2- Biópsia de pulmão

3- Biópsias de linfonodos

4- Biópsias de tumores

5- Biópsia de rim 

6- Paracentese abdominal

7- Drenagens de cavidades peritoneais

8- Drenagens de cavidades pleurais

9- Drenagens de coleções em pós operatórios

TC e RM Cardiovascular

A tomografia computadorizada (TC) e a ressonância magnética (RM) cardiovascular são ferramentas avançadas para avaliar as estruturas cardíacas e os vasos sanguíneos. Com a TC cardiovascular, é possível obter imagens detalhadas das artérias coronárias e detectar doenças cardíacas, como a aterosclerose, além de avaliarmos as válvulas, pericárdio e o miocárdico. Já a RM cardiovascular fornece informações detalhadas sobre a função, caracterização tecidual, perfusão e detecção de fibrose. São inúmeros os trabalhos que colocam estes dois métodos como fundamentais na cardiologia moderna.

 

Com profissionais treinados e equipamentos de ponta, essas tecnologias são essenciais para melhorar a saúde e o bem-estar dos pacientes com doenças cardíacas.

Ultrassonografia

A ultrassonografia é uma ferramenta valiosa nos centros médicos, permitindo diagnósticos precisos e não invasivos. Com a habilidade de profissionais treinados, a ultrassonografia fornece imagens em tempo real do corpo humano, permitindo a detecção de doenças e lesões de forma rápida e segura. Isso possibilita tratamentos mais eficazes e melhora as chances de recuperação dos pacientes.

 

A ultrassonografia é um método fantástico que possibilita um maior contato do médico radiologista com o paciente e ainda pode ser realizado através de manobras dinâmicas além de utilização do Doppler como uma forma de diferenciação de algumas patologias.

 

Radiologia Convencional

A radiologia convencional, são os estudos com Raios-X e ainda auxiliam em muito os médicos e em diversas patologias podendo ser usado de forma dinâmica ou até mesmo com a utilização de meios de contraste.

Tomografia Computadorizada

A tomografia computadorizada (TC) é uma ferramenta fundamental nos centros médicos mais modernos, permitindo diagnósticos precisos e rápidos. Com a ajuda de profissionais altamente treinados, a TC fornece imagens detalhadas do corpo humano, permitindo a detecção de doenças e lesões em estágios iniciais. Isso possibilita tratamentos mais eficazes e melhora as chances de recuperação dos pacientes.

 

Dr Marcelo utiliza amplamente as imagens volumétricas da tomografia computadorizada multidetectores e até as imagens com reconstruções em 3D, 4D e suas múltiplas projeções oblíquas para avaliação de pacientes com diversas patologias dentre elas as doenças oncológicas, cardiovasculares, neurológicas, infecciosas e inflamatórias, também os estudos de pré e pós tratamentos sejam estes cirúrgicos ou quimioterápicos. Estamos aumentando cada vez mais e ampliando a avaliação estrutural de próteses e órteses. Este método utiliza radiação e os protocolos são todos com dose reduzida além do contraste ser o mais seguro possível na atualidade.

Ressonância Magnética

Dr Nacif possui treinamento avançado em ressonância magnética, desde desenvolvimento de sequências a suas aplicabilidades clínicas e consegue aplicar amplamente este conhecimento em todas as áreas deste incrível método. A possibilidade de realizar as os diversos avanços como estudos de perfusão, difusão, espectroscopia, mapeamento multiparamétrico em T1, T2 e T2*, avaliação de gordura e fibrose além dos estudos dinâmicos com cineRM. É possível também a realização de segunda leitura de exames já realizados focando em estudos diagnósticos de alta precisão ou até mesmo avaliações evolutivas de doenças ou tratamentos em específico.

Os exames mais realizados por Dr Nacif são:

1- RM de abdome superior para estudo avançado hepático e de vias biliares

2- RM de coração repouso e sob estresse farmacológico com ampla aplicabilidade clínica

3- AngioRM de todas as regiões do corpo com estudo detalhado

4- EnteroRM com foco nas doenças inflamatórias intestinais

5- RM em músculo esquelético

6- RM com estudos avançados em obstetrícia

7- RM com estudos avançados para endometriose

8- DefecoRM

9- RM multiparamétrica de próstata e de neoplasia renal

10- Neuroimagem avançada

Abrir bate-papo
Olá
Podemos ajudá-lo?